Corpul Uman – Informatii medicale, diete de slabit, boli si afectiuni

MEMBRANELE – Anatomia celulelor umane

>Invelişurile protectoare ale organismului
Există două tipuri importante de membrane: membranele epite-liale, care includ membranele mucoase, membranele seroase si pielea, şi membranele sinoviale, care îmbracă articulaţiile. Dintre membranele epiteliale, membra­nele mucoase se remarcă prin fap­tul că ele îmbracă interiorul unei cavităţi care se deschide direct spre exterior: căile respiratorii, aparatul digestiv, căile genitale ale femeii si căile urinare.

Structură
O membrană epitelială este forma­tă dintr-o foiţă epitelială şi ţesutul conjunctiv situat dedesubt. Astfel, toate membranele mucoase sunt for­mate din:
► Foiţa epitelială Aceasta joacă un rol crucial în meca­nismele de apărare ale organismului, deoarece ea formează o barieră pe care microorganismele şi alţi agenţi patogeni o pot traversa cu greu.
► Celulele foiţei epiteliale sunt, în general, unite prin joncţiuni strânse, cu rol protector împotriva infiltraţiilor. Unele dintre ele, cum ar fi celulele calciforme, glande unicelulare, secre­tă mucus, un lichid vâscos care previ­ne uscarea cavităţilor, izolează parti­culele ajunse în cavităţile respiratorii sau lubrifiază alimentele ajunse în tubul digestiv.
► Mai mult, anumite enzime, care sunt necesare digestiei, sunt secre­tate de foiţa epitelială care reprezin­tă astfel punctul central al absorbţiei alimentelor şi a lichidelor în tubul digestiv. Numai mucoasa urinară nu secretă şi nu absoarbe nimic. Epiteliile mucoaselor variază considerabil de la o parte a organismului la alta, ele putând fi pavimentoase simple (un singur strat de celule) sau stratifica­te (mai multe straturi de celule), cilindrice, de tranziţie, glandulare, etc.
► Stratul bazai
Acesta reprezintă un strat de celule bazale care separă cele două foiţe epiteliale.
► Corionul
Foiţa de ţesut conjunctiv a unei mucoase este întotdeauna un ţesut conjunctiv moale, areolar, numit corion sau lamina propria, care susţine epiteliul, îl leagă de structu­rile situate dedesubt şi dă o anumită flexibilitate membranei. Mai mult, ea are rol de suport pentru vasele san­guine şi protejează muşchii situaţi dedesubt împotriva erodării şi a per­forării. Moleculele de oxigen şi nutrienţii ajung prin corion spre epi­teliul care îl acoperă, iar dioxidul de carbon şi produşii de metabolism circulă în sens invers. în cazul anumitor mucoase, corionul este susţinut de un strat de fibre musculare netede. Toate mucoasele sunt umede, majoritatea din­tre ele fiind umezite de secreţii, iar în cazul căilor urinare, de urină.
Diferite tipuri
► Mucoasele digestive
Aparatul digestiv, de la gură până la anus, este acoperit în întregime de o mucoasă care este susţinută, cu excepţia gurii, de un strat bogat în vase sanguine şi fibre nervoase, iar mai în profunzime de un strat musculos. Mucoasa digestivă înde­plineşte, în funcţie de localizarea sa, funcţii de absorbţie, de secreţie (a mucusului, a hormonilor sau a enzimelor digestive), şi de protecţie împotriva infecţiilor bacteriene,în cavitatea bucală, suprafaţa mucoa­sei este acoperită cu un epiteliu pavimen-tos stratificat care nu este keratinizat (adică nu există stratul de suprafaţă de keratină specific pielii): celulele aplatiza­te sunt sudate şi stivuite unele peste alte­le. Corionul este subţire şi bogat în vase sanguine, care dau mucoasei culoarea sa
► In esofag, mucoasa se îmbogăţeşte cu un număr mare de glande esofagiene
care secretă mucus pentru a permite rezis­tenţa la erodarea cauzată de alimentele solide îngurgitate.
►în stomac, epiteliul devine cilindric simplu: un singur strat de celule înalte dintre care, unele produc un mucus protector, în timp ce celelalte secretă acid clorhidric. Această căptuşeală este presărată cu milioane de cripte (cavi­tăţi neregulate de la suprafaţa unui organ), iar pe fundul acestora sunt situate celule glandulare care secretă sucul gastric.
►în intestin, epiteliul asociază celule cilindrice, care sunt mărginite de micro-vilozităţi (prelungiri microscopice ale membranei plasmice) care multiplică suprafaţa de absorbţie, celule calicifor-me, care secretă mucus şi celule endo­crine, care produc hormoni digestivi, ►în colon, corionul devine mai dens, iar secreţia de mucus mai importantă.
► Mucoasele respiratorii
Mucoasele arborelui respirator trebuie să încălzească şi să umezească aerul inspirat, să îl cureţe de praf şi de parti­culele pe care le conţine, şi să apere organismul împotriva viruşilor şi a bac­teriilor aeropurtate. Structura lor varia­ză de la un loc la altul:
►în cavitatea nazală (epiteliu simplu) există o zonă bogată în celule ciliate (prevăzute cu cili) care secretă fie mucus, fie un lichid apos, şi o zonă olfactivă bogată în receptori,
►în partea superioară a faringelui, mucoasa conţine vegetaţii adenoide (amigdale), apoi epiteliul se stratifică apropiindu-se de punctul de întâlnire cu căile digestive.
► din laringe până în bronhiolele ter­minale, epiteliul este de tip cilindric, pseudostratificat (un singur strat de celu­le, dar care se suprapun) şi ciliat. Bogat în celule care secretă mucus, corionul traheii şi al bronhiilor mari este bogat în fibre elastice.
►în alveole, mucoasa lasă loc unei sim­ple membrane.
Alte mucoase
► Mucoasa vaginală se caracte­rizează prin extensibilitate, favori­zată de pliurile numite creste vagi-nale sau riduri ale vaginului. Epiteliul său este de tip pavimentos stratificat, dar el se poate keratiniza uneori, în cazul unei carenţe de vita­mina A. Mucoasa vaginală nu are glande specifice, ea este lubrifiată de secreţiile glandelor vulvo-vagi-nale, mai profunde. Celulele sale epiteliale sunt bogate în glicogen, al căror metabolism produce aci­dul lactic. Aciditatea indusă de acest proces protejează vaginul împotriva numeroaselor infecţii şi neutralizează, în parte, sperma­tozoizii. Componentele alcaline ale spermei temperează această acţiu­ne, mărind astfel viabilitatea sper­matozoizilor în momentul fecun­dării.
► Mucoasa uterină, sau endome-trul, asociază un epiteliu cilindric simplu şi un corion foarte dens, al cărui strat funcţional este eliminat prin menstruaţie sau serveşte de cuib provizoriu, în cazul fecundării, înaintea formării placentei, în timp ce stratul bazai, mai subţire, rămâ­ne întotdeauna prezent. Celulele secretoare ale mucoasei colului ute-rin produc secreţii cervicale care, în momentul ovulaţiei, facilitează primirea spermatozoizilor. în restul timpului, ea formează un dop care îi împiedică pe aceştia să intre.
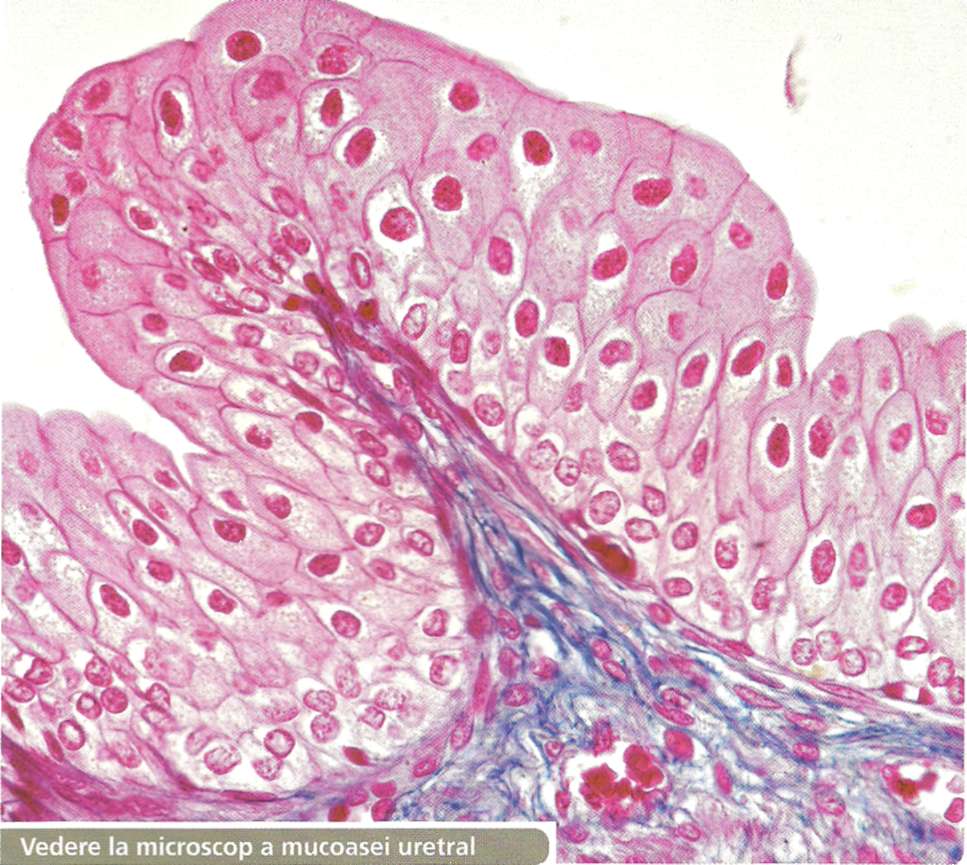
► Mucoasele urinare nu au nici un rol de absorbţie sau de secreţie: mucoasa ureterului este acoperită cu un epiteliu polimorf, numit de tranziţie, care asociază mai multe straturi de celule cubice sau cilin­drice, capabile să gliseze unele pe altele, pentru a rezista la variaţii­le importante (presiune sau dilata­re), în uretră, epiteliul stratificat este, pe rând, de tranziţie, în apro­pierea vezicii, cilindric, în partea din mijloc, şi pavimentos, în apro­pierea meatului urinar. Nefiind protejată de secreţii de mucus, uretra femeii este invadată cu uşu­rinţă de bacterii care provin din regiunea anală.