Corpul Uman – Informatii medicale, diete de slabit, boli si afectiuni

Cum se produce ovulaţia

Cantitatea totală de ovule disponibile pentru o femeie, de-a lungul perioadei ei fertile, este determinată încă înainte de naştere. Ovulele imature sunt depozitate în ovare, până la perioada pubertăţii, după care este eliberat câte unul în fiecare lună.

Ovulul este celula sexuală femi­nină, sau gametul, care se uneşte cu spermatozoidul pentru a forma o nouă fiinţă. Ovulele sunt produse şi depozitate în ovare, două organe de mărimea unei nuci, ce sunt legate de uter prin trompele uterine.

OVARUL

Fiecare ovar este acoperit de un strat protector de peritoneu Ice căp­tuşeşte abdomenul]. Imediat sub acest strat se găseşte o capsulă fibroasă groasă, numită tunica albu-ginea. Ovarul în sine constă dintr-o zonă externă densă, numită zona corticală şi o zonă internă mai puţin densă, medulara.

PRODUCŢIA DE GAMEŢI

La femei, cantitatea totală de ovule este deja stabilită la naştere. Celulele ce formează ovulele degenerează înce­pând de la naştere, către pubertate şi intervalul de timp în care femeia poate elibera ovule mature este cuprinsîntre pubertate şi menopauză.
Procesul prin care sunt pro­duse oocitele în ovar se numeşte oogeneză, sau ovogeneză, ceea ce înseamnă „începutul formării unui ou”. Celulele germinale din orga­nismul fătului produc multe oogonii. Acestea se împart, pentru a forma oocitele primare, care sunt înve­lite într-un grup de celule folicutare (celule de susţinere].

DIVIZIUNEA GENETICĂ

Oocitele primare încep să se înmul­ţească prin meioză (un tip de divizi­une nucleară specializată), dar pro­cesul acesta este întrerupt în prima sa fază şi nu continuă decât după instalarea pubertăţii. La naştere se formează rezerva pe viaţă de oocite, numărând de la 700.000 până la două milioane de oocite primare, deja formate. Aceste celule specia­lizate vor rămâne în stare de repaus în regiunea corticală a ovarului ima­tur şi vor degenera treptat, astfel încât la pubertate rămâne un număr de aproximativ 40.000.

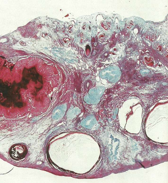
Această imagine microscopică arată un ovar cu mai mulţi foliculi mari (de culoare albă). în timpul ovulaţiei, până la 20 de foliculi încep să se dezvolte, dar numai unul ajunge la stadiul de maturaţie, fiind eliberat din ovar.

Dezvoltarea ovulului

înainte de instalarea pubertăţii, oocitul primar este înconjurat de un strat de celule (celulele granu-loase), ce formează foliculul pri­mar.

PUBERTATEA

Odată cu instalarea pubertăţii, o parte din foliculi sunt stimulaţi în fiecare lună de către hormoni, pentru a continua să se dezvolte şi a deveni foliculi secundari:

■ Un strat de lichid limpede, vâs­cos, numit zona pellucida, este depozitat pe suprafaţa oocitului.
■ Celulele granuloase se înmul­ţesc şi formează o cameră (numită antrum), ce se umple cu lichid secretat de celulele granuloase.
■ Oocitul este împins într-o parte a foliculului şi se situează într-o masă de celule foliculare, numită cumulus.
Un folicul secundar matur este numit folicul Graaf.

Meioza

Prima diviziune meiotică produce două celule de mărimi inegale oocitul secundar şi primul corp (globul) polar. Cel de-al doilea oocit conţine aproape întreaga cantitate de cito­plasmă a oocitului primar. Ambele celule încep diviziunea secundară; totuşi, acest proces este oprit şi nu se definitiveazâ până nu este fertilizat de spermatozoid.

Meioza, o diviziune celulară specializata, apare in interiorul ovarelor, dând naştere unei celule sexuale feminine şi trei corpi polari.