Corpul Uman – Informatii medicale, diete de slabit, boli si afectiuni

Celiachia – Diagnosticare

>

Investigarea celiachiei


Pentru confirmarea diagnosticu­lui de boală celiacă, este necesară efectuarea mai multor investigaţii.

BIOPSIA INTESTINALĂ

Cea mai utilă investigaţie constă în examinarea la microscop a unei mici porţiuni de la suprafaţa intes­tinului (efectuarea unei biopsii), în scopul confirmării modificărilor cauzate de intoleranţa la gluten.
Aspectul caracteristic în ast­fel de situaţii constă în atrofierea prelungirilor (denumite microvili) vizibile în mod normal la suprafaţa intestinului subţire.
Biopsia poate fi recoltată cu ajuto­rul unui endoscop (telescop flexibil) introdus prin cavitatea bucală în sto­mac şi porţiunea superioară a intes­tinului subţire. 0 altă metodă de obţi­nere a biopsiei constă în utilizarea unei capsule speciale, care conţine o ansa care poate fi mânuită de la dis­tanţă şi pe care pacientul o înghite odată cu un tub îngust. Această pro­cedură poate fi efectuată şi de o asis­tentă medicală specializată.
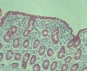
Mucoasa intestinului subţire are în mod normal o suprafaţă foarte mare asigurată de mici cute (pliuri) denumite microvili. în boala celiacă, suprafaţa apare netedă, ca in imaginea alăturată.

REPETAREA BIOPSIEI

Dacă biopsia este anormală, se recoltează un nou fragment de mucoasă dupa excluderea glute-nului din alimentaţie. A doua biop­sie ar trebuie să evidenţieze refa­cerea mucoasei intestinale.
Dacă mai există dubii, se mai recoltează o biopsie după reintro­ducerea glutenului în alimentaţie.
Investigarea celiachiei se face cu ajutorul endoscopiei. Aceasta utilizează un mic dispozitiv de vizualizare pe bază de fibră optică, cu care se vizualizează interiorul intestinului subţire şi se recoltează biopsiile.

Testele Diagnostice
Analizele de sânge sunt deseori utilizate pentru investigarea celi­achiei. Aceste analize urmăresc depistarea anemiei feriprive, a malnutriţiei proteice, a inflamaţiei şi a deficienţelor în absorbţia vita­minelor şi a mineralelor.
Cu toate acestea, există toto­dată şi o analiză de sânge speci­fică, care constă în dozarea anti­corpilor endomisiali. Ea este valo­roasă în special pentru că în boala celiacă, titrul anticorpilor este crescut. Dacă acest test este pozitiv, diagnosticul trebuie confirmat prin efectuarea unei mici biopsii intestinale de către un specialist gastroenterolog.
Dacă simptomele abdominale sunt severe sau dacă simptoma­tologia persistă în ciuda tratamen­tului aplicat, se recomandă efec­tuarea unui tranzit baritat. Acesta implică ingestia unui lichid opac, de culoare albă (bariu), care scoate în evidenţă, prin interme­diul radiografiei, aspectul mucoa­sei intestinale.

Analizele de sânge pot depista deficienţe de vitamine şi de fier în boala celiacă. De asemenea, tot pe această cale se poate detecta prezenţa inflamaţiei şi scăderea nivelului de proteine.


Radiologul din imagine supraveghează desfăşurarea unui tranzit baritat gastric la o pacientă, cu ajutorul unui echipament de radioscopie. Studiile cu bariu sunt utilizate pentru investigarea simptomelor abdominale.